º´¿ø¼Ò°³
¿øÀå¼Ò°³
¿¬¼¼Áß¾Ó³»°úÀÇ¿ø ¼Ò°³
ã¾Æ¿À½Ã´Â ±æ
ºñ±Þ¿© ÇàÀ§·á
º´¿ø¼Ò½Ä
º´¿ø¼Ò½Ä
¾ð·Ð¿¡¼º» ¿¬¼¼Áß¾Ó³»°ú
Àü¹®°Ë»ç¾È³»
³»½Ã°æÀü¹®°Ë»ç
ÃÊÀ½ÆÄÀü¹®°Ë»ç
¹æ»ç¼±°Ë»ç
»ýȰ½À°üº´°Ë»ç
¸¸¼ºÅëÁõ ¹× °üÀý¿°°Ë»ç
ÀÚ°¡¸é¿ªÁúȯ ¹× ¸¸¼ºÇÇ·ÎÁõÈıº °Ë»ç
Àü¹®Áø·á¾È³»
Àü¹®Áø·á¾È³»
¿¹¹æÁ¢Á¾¾È³»
°ø´Ü°ËÁø-½Åü°Ë»ç
³²¼º°»³â±âŬ¸®´Ð
ÀÇÇлó´ã
Áø·á»ó´ã
°Ç°±â´É½Äǰ»ó´ã
Èñ±Í»ç·Ê¸ðÀ½
³»½Ã°æ»çÁø
ÃÊÀ½ÆÄ°¶·¯¸®
»çÁøCT/MRI
Èñ±Í»ç·Ê¸ðÀ½
DR.CHO MEDICAL CLINIC
³»½Ã°æ»çÁø
ÃÊÀ½ÆÄ°¶·¯¸®
»çÁøCT/MRI
Èñ±Í»ç·Ê¸ðÀ½
»çÁøCT/MRI
Total : 83
ÇÑÀÇ¿ø ħ...
º£Ã¼Æ® ±¸...
¼Õ°¡¶ô û...
¾ËÃ÷ÇÏÀ̸Ó...
¸»±Á½ÅÀå(...
õ½Ä¿¡¼ ...
º¹ºÎ ÃÊÀ½...
ºñÁ¤Çü °á...
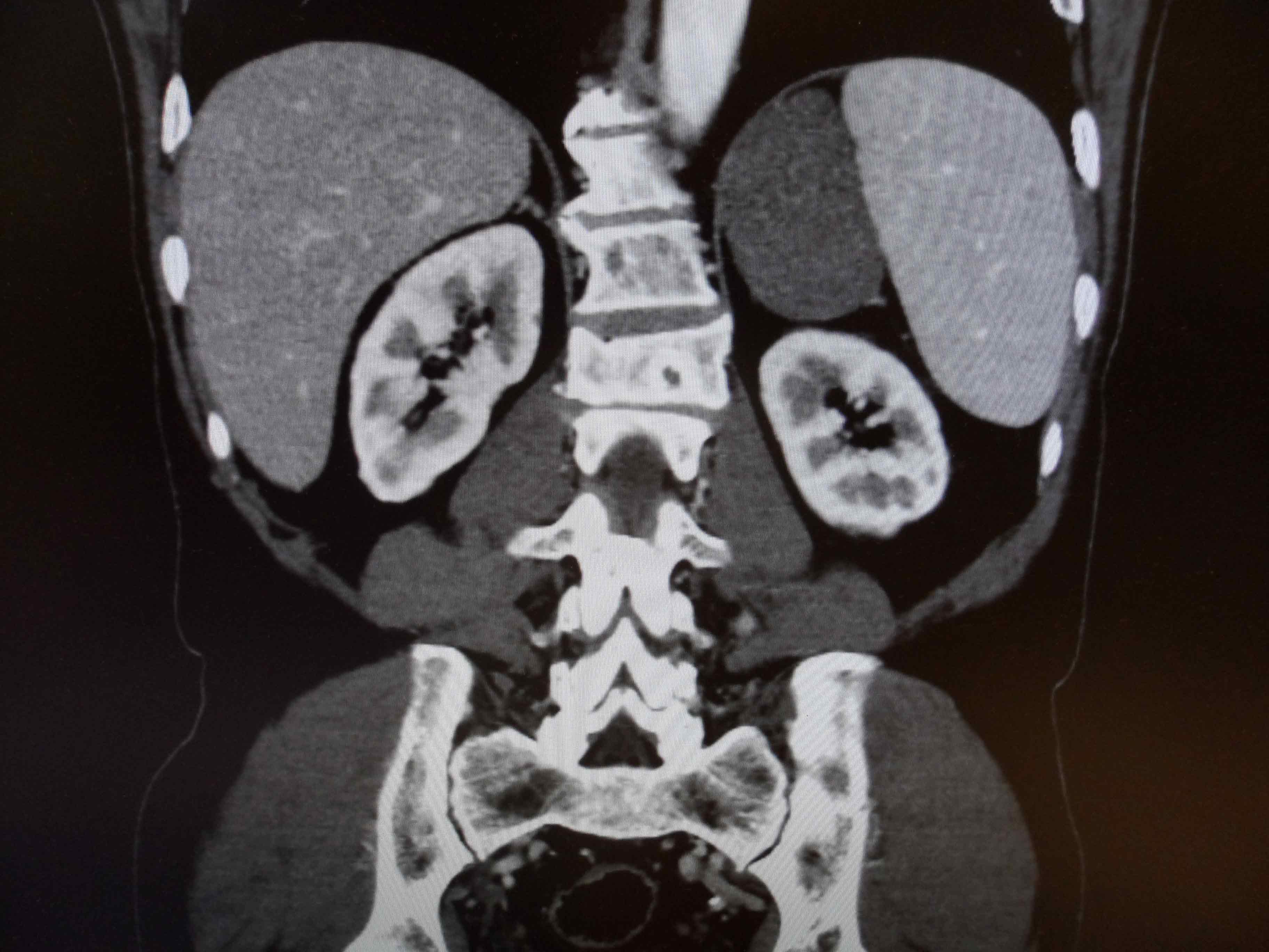
ºÎ½Å Á¾¾ç
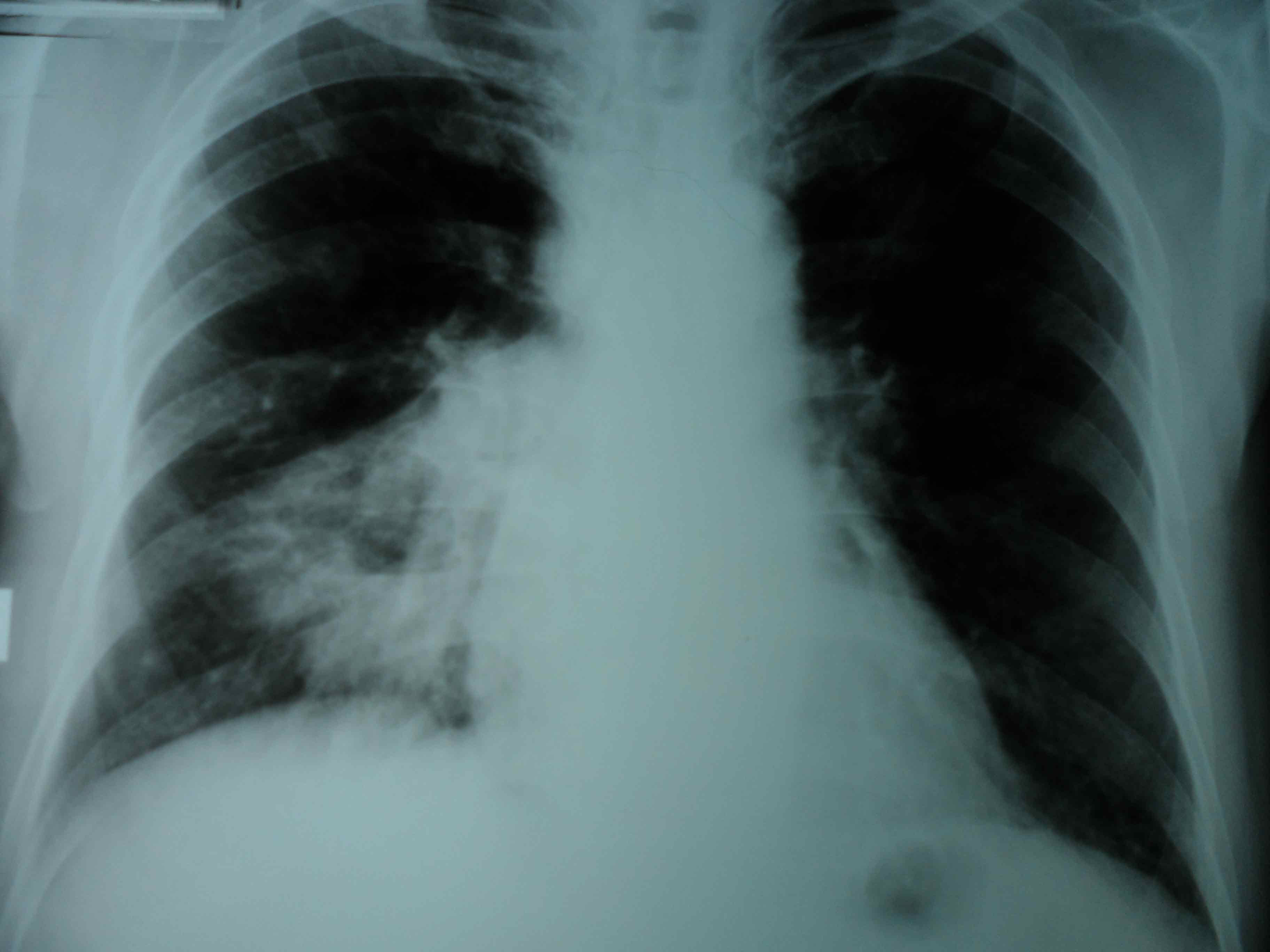
Æó¾Ï
1
2
3
4
5
6
7
8
9
Á¦¸ñ
Àüü
±Û¾´ÀÌ
Yesterday : 1069 | Today : 716 | Total : 6211207
::¿¬¼¼Áß¾Ó³»°úÀÇ¿ø Àڸź´¿ø::
¿¬¼¼ÀÇ·á¿ø
¼øÃµÇâ´ëÇб³ ¼¿ïº´¿ø
Áß¾Ó´ëÇб³ º´¿ø
¼¿ï ¾Æ»êº´¿ø